
IMPLANTES E PRÓTESES
BENEFÍCIOS
Segurança e Conforto
Uma solução fixa e estável para substituir dentaduras, proporcionando confiança.
Solução Permanente
Implantes dentários oferecem uma solução fixa e duradoura, restaurando função e estética.
Restauração Completa
Recupere a função mastigatória e a estética do sorriso com nossas próteses dentárias.
Sorriso Natural
Implantes e próteses garantem resultados naturais e devolvem a sua autoestima.
IMPLANTES E PRÓTESES
PASSO A PASSO
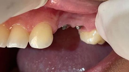
Implante tipo prótese protocolo
Inserção do implante dentário
O pino é fixado no osso do maxilar ou da mandíbula em um procedimento cirúrgico.
Osseointegração
Após a cirurgia, o osso se integra ao implante em um processo chamado osseointegração, que pode levar de 3 a 6 meses. Esse passo é essencial para garantir a estabilidade do implante.
Fixação da prótese dentária fixa (dente)
Depois da cicatrização, uma prótese dental (coroa, ponte ou dentadura) é fixada ao implante por meio de um componente intermediário chamado "pilar".
CLIENTES SATISFEITOS
DEPOIMENTOS
Confira o que os nossos clientes têm a dizer sobre a Implant Class.
Rafael Braga
A melhor de Fortaleza e região!!!
Atendimento de excelência e profissionais capacitado.
👏🏽👏🏽👏🏽
Silvana Távora
Aconselho qualquer pessoa que precisar dos serviços da clínica Implant Class Odontologia, a fazer qualquer procedimento, com a simplicidade, a sinceridade e responsabilidade de dois profissionais, que trabalham com amor e responsabilidade, e cuidado que eles tem com os clientes. Aconselho quantas vezes for preciso, para qualquer cliente que precisar de mais informações, sem contar com o aconchego e a higienização da clínica. O atendimento é excepcional, nota 10.
CLIENTES SATISFEITOS
SORRISOS TRANSFORMADOS
Veja alguns dos resultados incríveis de alguns dos tratamentos realizados na Implant Class através dos sorrisos dos nossos clientes.
SOBRE NÓS
CLÍNICA ODONTOLÓGICA IMPLANT CLASS
A Clínica Odontológica Implant Class nasceu com o compromisso de oferecer um espaço acolhedor e inovador, com tecnologia de ponta e profissionais especializados.
Localizada na Av. Desembargador Moreira, 2001, em Fortaleza, nossa clínica transforma vidas e devolve sorrisos todos os dias.
Dr. Samuel do Monte Macêdo
CRO/CE: 5707
SOBRE NÓS
ESPECIALISTAS
Conheça os profissionais que irão transformar o seu sorriso.
Dr. Samuel do
Monte Macêdo
CRO/CE: 5707
Dra. Glauce Zamorano
Holanda Macêdo
CRO/CE: 6391
Dúvidas
PERGUNTAS FREQUENTES
Visite-nos
NOSSA LOCALIZAÇÃO
Endereço
Av. Des. Moreira, 2001 - sala 2 - Térreo
Ed. Novais Center - Aldeota, Fortaleza/CE
CEP: 60170-001
Telefone
(85) 9.9921-2000